
卵泡萎缩代表什么?偶尔一次卵泡萎缩是否正常?
一个周期偶尔出现一次卵泡萎缩是正常的现象。每个周期都会有很多个卵子同时发育,但是通常只会有2-3个卵泡发育成熟俗称优势卵,其他的卵泡会出现可能会不发育或发育到一定程度出现萎缩的情况。卵泡萎缩会有许多特征比如会出现卵泡不长大,卵泡变小也是卵泡萎缩常见的症状。卵泡最明显的特征就是卵泡消失,很多备孕女性做卵泡监测的时候卵泡会减少,以为是卵泡破裂正常排出结果是卵泡萎缩消失。卵泡常常发育成熟需要达到18mm...

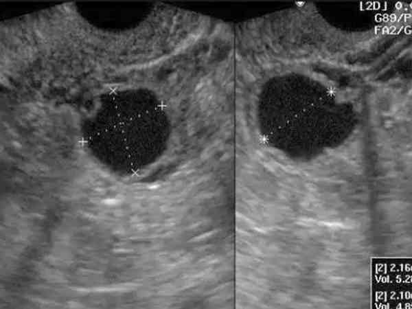
卵泡张力和透声是什么意思?如何辨别卵泡张力?
卵泡监测b超检查可以观察到卵巢及卵泡,卵泡张力主要是通过检查卵泡的形态、大小、成熟度来判断卵泡的发育情况,卵泡透声是看卵泡中是否有回声液来判断卵泡质量。一般情况下张力好的都是发育成熟的卵泡,正常卵泡的形状是椭圆形或圆形,大小直径在18-25mm左右,这样就能判断卵泡张力。而透声可以判断卵泡的质量,如果卵泡透声欠佳说明卵泡里有回声液,这会造成卵泡质量下降,有时会影响受孕。卵泡张力和透声一定程度上会影...

9mm是什么级别卵泡?是不是优势卵泡?
卵泡会从初级卵泡发育成为成熟卵泡,然后排出,直径9mm的卵泡介于第六级和第七级之间,不属于优势卵泡。月经周期一般会有几个卵泡相继发育、长大,期间做B超会发现有一个直径大于10mm,小于18mm的卵泡,这就是优势卵泡,这类卵泡需要继续监测,成熟卵泡的大小需要卵泡直径达到18mm以上,等卵泡成熟之后就会发生排卵行为。卵泡的成长发育过程中可以分为原始卵泡、初级卵泡、次级卵泡、成熟卵泡四个阶段,从发育到成...

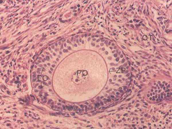
空卵泡和正常卵泡除受孕能力外还有哪些区别?
在阴超下是看不出空卵泡和正常卵泡的区别,因为阴超检查是有局限性的,它只能检查出卵泡数量,并不能判断卵泡是正常的还是空卵泡。目前临床上暂时没有通过体外检查方式判断空卵泡的方法,只能结合女性的性激素六项,大概的判断女性内分泌情况,从而间接了解到卵泡发育情况。阴超检查卵泡的情况有局限性,所以并不能完全判断是空卵泡,还是正常的卵泡,无论是空卵泡还是正常的卵泡,这时看到卵泡内都是低回声区,不能直接判断是空卵...

优质卵泡和普通卵泡除大小外有什么区别吗?
优质卵泡是可以发育成熟的卵泡,就是直径超过10mm,而没有达到18mm的卵泡,而普通成熟卵泡直径是超过18mm的,这就是优质卵泡和普通成熟卵泡在大小上的区别。而优势卵泡和成熟卵泡的区别除了大小,还有就是成熟度以及排卵情况,优质卵泡比普通卵泡发育的更成熟,比普通卵泡体积大很多,而且优质卵泡会排出卵子,而普通卵泡在发育过程中会逐渐退化闭锁,最终凋亡消失。直径>10mm的卵泡称为生长卵泡,>10mm的卵...

卵泡发育不好不成熟做试管有没有影响?成功率如何?
卵泡发育不好不成熟一般是可以通过试管婴儿促排卵、取卵得到解决的,所以这种情况做试管婴儿一次成功率还是较高的,一般都可以达到50%以上。但为了避免促排质量效果不佳,建议存在卵泡发育不好不成熟的患者先进行相关检查,明确卵泡发育异常的原因,先进行治疗再做试管婴儿这样成功率会比较有保障一些。卵泡发育不好不成熟的原因有很多,可能是多囊卵巢综合征、卵巢巧克力囊肿、卵巢功能不全、卵巢早衰导致的,也可能是个人情绪...

40岁试管促排卵多少个正常?附提高卵子数量与质量方法
40岁高龄备孕做三代试管促排卵10个左右基础卵泡比较正常,10个左右的卵泡正常发育以保证可获得7-8个以上高质量卵子,卵泡数量过多也可能导致卵子质量低,卵泡发育不好,会影响胚胎质量,从而影响试管着床成功率,若是卵泡数量过少的话,也可能会导致取卵数量过少,从而使配成胚胎的数量少,无胚胎可移植的情况。针对促排过程中,卵泡发育不好、数量过少的情况,可以通过以下方法提高卵子数量与质量:1、药物调理女性在促...

卵泡发育不好做试管婴儿怎么样,助孕成功率数据看完便知
女性患多囊卵巢综合症卵子长不大,是可以做试管婴儿助孕的。但由于每个女性的身体情况不同,具体还需要患者前往医院做全面的身体检查,医生会根据患者身体的实际情况去决定是否适合做试管助孕。一般对于患多囊卵巢综合症卵子长不大的女性来说,在试管期间医生会根据其情况通过使用促排卵药物来促进卵泡发育,使长不大的卵泡发育成熟,从而提高试管婴儿成功的几率。因此,多囊患者是可以进行试管助孕的,无需过于担心,积极配合医生...

一个卵泡做试管婴儿成功率不高,照着做帮你解决问题!
正常来讲,做试管婴儿需要进行促排卵的治疗,而促排卵后取出的卵子数量在8-10个左右是最好的,卵子数量的多少其实也就决定着培育受精卵的成功率。要是仅有一个卵泡的话,其实做试管而言反正是不好的,至于一个卵泡做试管的成功率怎么样,卵泡少做试管又该如何解决,详情在文中便可知晓。一个卵泡做试管婴儿成功率对于年轻患者一个卵泡做试管婴儿的成功率比较高,因为年轻患者的卵子质量相对比较高,所以形成正常胚胎的机会也会...

卵泡发育不好也能做试管婴儿,能否成功怀孕还真说不准
众所周知,怀孕是需要男性的精子和女性的卵子进行结合受精最后着床的一个过程。通常来说,在试管婴儿中,精子和卵子的质量是非常重要的。一旦其中一方出现问题则无法顺利怀孕。尤其是女性卵泡发育不良会对女性受孕产生巨大的影响,进而导致女性不孕。拥有成熟且质量较高的卵子是女性怀孕的重要指标。如果卵泡发育不良,是会导致女性排卵障碍。进而导致女性不孕。由于卵泡发育不良,对女性的身体有非常大的影响,是不可以做试管婴儿...

看了又看