
樱木花道

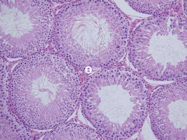
抑制素b正常的无精症很有可能就是梗阻造成的,因为抑制素B是由睾丸支持细胞(Sertoli细胞)直接分泌的,其可以直接反应睾丸的精子发生,它与精子总数、告诉体积都是相关的。所以说抑制素b正常大概率就是梗阻性无精症导致的,具体还是需要做一个睾丸穿刺检查才行,以判断梗阻位置。

抑制素b是由生殖系统细胞分泌产生,与生殖能力有密切关系,男性出生后不久,血清抑制素b水平逐渐上升,直到青春期Ⅱ期到达成年人水平,到20~30岁时,该值会达到另一个高峰,之后随年龄增加逐渐降低。下面就为大家解答抑制素b正常的无精症是什么原因造成的:
网友提问
嗣恩顾问
综上所述,血清抑制素b测定可用于评价男性不育病人的生精功能,可分辨OA梗阻性无精症和NOA非梗阻性无精症,同时对于判断显微取精的结局也有很好的指示作用。
四代试管
卵巢早衰交流群三代试管
优生优育攻略群高龄生子
绝经助孕攻略群无精/死精
显微取精交流群冷冻卵子
生育力保存经验群出国生子
海外试管交流群大家在看