
端木云

优质的卵泡在备孕中,充当着非常重要的角色,在医学上常被称之为优势卵泡,定义的卵泡多大算优势卵泡呢,通常在1.0-1.8cm将被称之为卵泡正常值大小参考值,那么卵泡14*13算优势卵泡吗,医生表示属于优势卵泡,注意好排卵期进行同房即可增加怀孕几率。

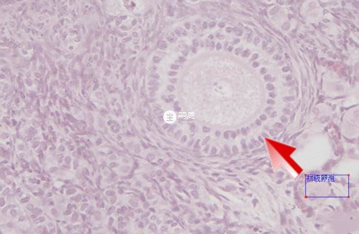
所谓的优势卵泡,在日常在医学中指的就是超过10mm,却没有超过18mm的卵泡,因为是唯一具有发展为成熟卵泡的卵泡,所以通常在备孕的时候都会做好监测有没有优势卵泡,并做好应对的措施,防止排卵时期无卵排出。
对于卵泡发育不好的原因,通常都是女性内分泌问题,所以这点也是需要非常注意的,在优势卵泡发育的并不好的是会有或者说是没有优势卵泡的时候,应该做好女性备孕吃什么养卵泡,使增加优势卵泡的可能性增加。
经过长时间的临床监测不难发现,正常情况下优势卵泡的标准为10mm-18mm,但是这个优势卵泡的大小并不是绝对的,如果有人问优势卵泡可以长多大,那么通常来说是可以发育到25mm,但是一般情况下只有较少的优势卵泡才会发育到25mm而不破裂。
对于卵泡多大算优势卵泡,其实是并不需要针对了解的,因为通常情况下优势卵泡一旦成长到了18mm-22mm的时候一般都会出现卵泡破裂,然后分泌出卵子,与高质量的精子进行结合,所以在前期只需要注意优势卵泡不排卵怎么办,是否需要进行人工破卵等准备。

在临近排卵期的时候,进行卵泡监测发现卵泡是14*13,那么卵泡14*13算优势卵泡吗,其实这种情况来说卵泡发育的情况是较好的,只需要按照医生说的排卵时间进行同房,那么增加女性受孕几率的可能性将会很大。
四代试管
卵巢早衰交流群三代试管
优生优育攻略群高龄生子
绝经助孕攻略群无精/死精
显微取精交流群冷冻卵子
生育力保存经验群出国生子
海外试管交流群大家在看