
我不是坏孩子

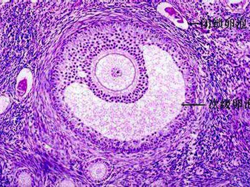
试管婴儿促排中出现空卵泡,可能是由于前期促排药物的影响,或者卵巢功能出现问题,亦或者是医生没有把握好促排乱和取卵的时机,这一系列都会导致空卵泡的出现,出现空卵泡的话也不用担心,一般很少出现卵泡全是空卵泡的情况,所以试管还是可以继续进行的。

出现空卵泡是一种常见的现象,但是不像网上那样说的经常发生。出现空卵泡的原因很多,主要有以下几点:
四代试管
卵巢早衰交流群三代试管
优生优育攻略群高龄生子
绝经助孕攻略群无精/死精
显微取精交流群冷冻卵子
生育力保存经验群出国生子
海外试管交流群大家在看