
幸福止痛素

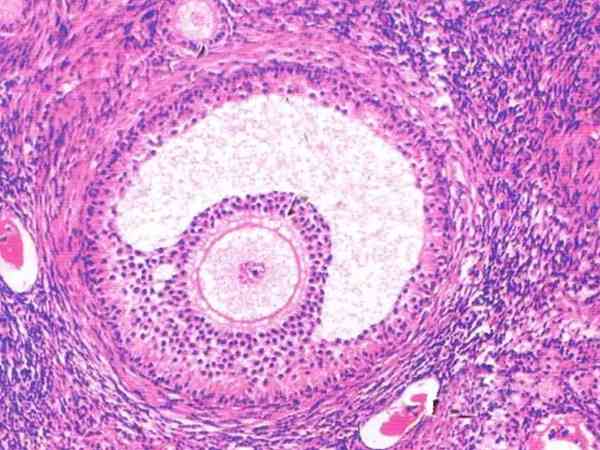
卵泡黄素化可能是偶然性的,也可能是病理性的,偶然的一次卵泡黄素化通常在第二个月就会自行恢复,并不会影响之后正常的排卵和受孕,但若是病理性的,即连续几个月一直都出现卵泡黄素化没有卵子排出的情况,就需要进一步的检查,明确引起卵泡黄素化的原因,针对性的进行治疗和调理,待恢复之后再进行备孕。

正常情况下,女性卵巢每个月排一次卵,但若是卵泡成熟后不能够正常的破裂排出卵子,那就会出现卵泡黄素化的情况,引起卵泡黄素化的原因不同,对于后期排卵的影响也有不同:
四代试管
卵巢早衰交流群三代试管
优生优育攻略群高龄生子
绝经助孕攻略群无精/死精
显微取精交流群冷冻卵子
生育力保存经验群出国生子
海外试管交流群大家在看